Симферополь
ул. Сельская, д. 88

Инновационная стоматология

Пн-Вс: 08:00 - 19:00

Есть вопрос?
Задайте онлайн

Записаться на прием

ПРИМЕРЫ РАБОТ

Брекеты
Удаление зубов мудрости
Чистка зубов
Имплантация
Эндодонтическое лечение
под микроскопом
Лечение кариеса
Протезирование
Промежуточный результат носки брекетов нашей пациентки Эльвиночки.
Первое фото выполнено после установки системы 17 марта 2023 г., а второе 15 августа 2023г.
Срок носки - 6 месяцев, доктор Садлаева С.А.
Промежуточный результат носки брекетов нашей пациентки Эльвиночки.
Первое фото выполнено после установки системы 17 марта 2023 г., а второе 15 августа 2023г.
Срок носки - 6 месяцев, доктор Садлаева С.А.
Садлаева С.А.
Ортодонт
Отзывы
должен начинаться на +7
Записаться на прием
Хирург-имплантолог клиники 5 принципов - Герай Османович, талантливый, грамотный доктор покоряющий сердца пациентов💙

Читаем отзыв пациентки Эльвины и гордимся командой все больше и больше.
Хирург-имплантолог клиники 5 принципов - Герай Османович, талантливый, грамотный доктор покоряющий сердца пациентов💙

Читаем отзыв пациентки Эльвины и гордимся командой все больше и больше.
Герай Османович
Хирург Имплантолог
Отзывы
должен начинаться на +7
Записаться на прием
🦷 Чистка зубов – это процедура удаления зубного налета и зубного камня с поверхности зубов. Она выполняется с помощью специальных инструментов, обычно при помощи ультразвукового аппарата и струйного аппарата.

🦷Чистка зубов позволяет удалить механические загрязнения и зубной налет, которые не могут быть удалены при обычной чистке зубной щеткой и зубной пастой.

⚠Это помогает предотвратить развитие заболеваний полости рта, таких как кариес и пародонтоз, а так же сохранить здоровье десен и зубов.

Чистка зубов рекомендуется проводить регулярно, как правило, раз в полгода или по рекомендации стоматолога.
🦷 Чистка зубов – это процедура удаления зубного налета и зубного камня с поверхности зубов. Она выполняется с помощью специальных инструментов, обычно при помощи ультразвукового аппарата и струйного аппарата.

🦷Чистка зубов позволяет удалить механические загрязнения и зубной налет, которые не могут быть удалены при обычной чистке зубной щеткой и зубной пастой.

⚠Это помогает предотвратить развитие заболеваний полости рта, таких как кариес и пародонтоз, а так же сохранить здоровье десен и зубов.

Чистка зубов рекомендуется проводить регулярно, как правило, раз в полгода или по рекомендации стоматолога.
должен начинаться на +7
Записаться на прием
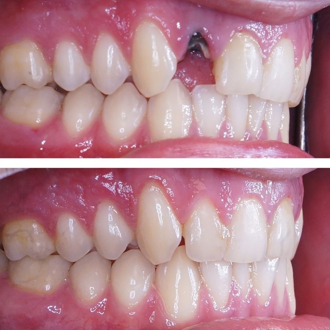
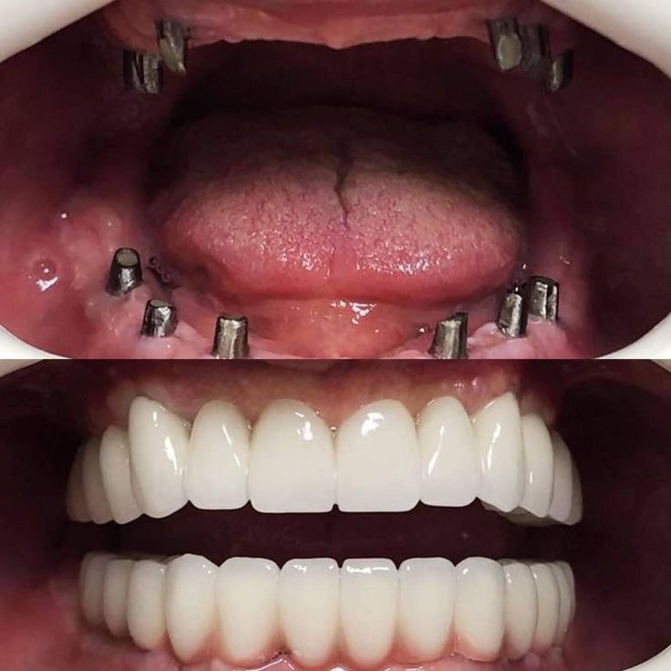
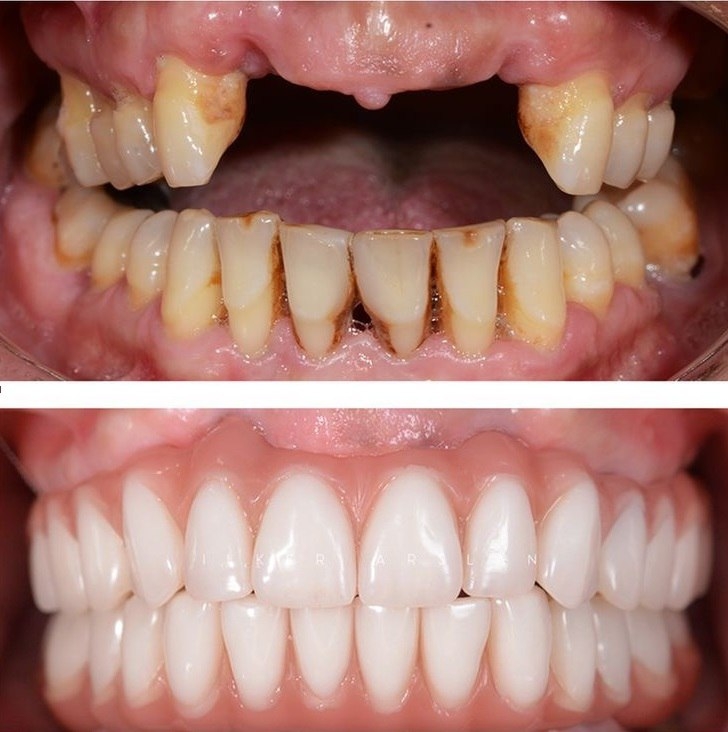
Стоматология «5 Принципов» в Симферополе гордится своими достижениями в области имплантации и постоянного совершенствования качества обслуживания. Наши клиенты получают индивидуально подобранные решения, основанные на передовых технологиях, годах опыта и внимании к деталям. Мы предлагаем комплексный подход: от подробной консультации до восстановления жевательной функции и эстетики улыбки.Каждый этап начинается с точной диагностики: цифровая томография, планирование в 3D, моделирование улыбки. Это позволяет увидеть предполагаемые результаты до начала операции и минимизировать риски.
При имплантации мы используем современные системы имплантатов с высоким процентом приживления и минимальным временем восстановления. Наши специалисты владеют техниками одномоментной фиксации и протезирования без необходимости временной съемной конструкции, что обеспечивает быструю адаптацию и комфорт пациента.В портфолио клиники — примеры успешных восстановлений: имплантация одиночного зуба с естественным оттенком коронки, комплексная реконструкция зубного ряда, а также имплантация с последующим использованием циркониевой коронки для максимальной эстетики. Мы уделяем внимание функциональности, долговечности и гармонии с природной линией улыбки.Послеоперационное сопровождение — важная часть our подхода: контроль за имплантатами, профилактические процедуры и рекомендации по уходу. В «5 Принципы» мы стремимся вернуть уверенность и комфорт улыбке каждого клиента в Симферополе.
должен начинаться на +7
Записаться на прием
До
После
До
После
До
После
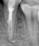
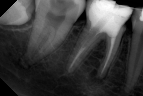
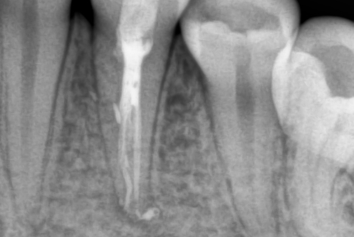
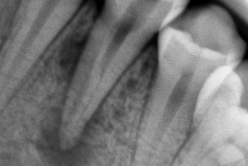
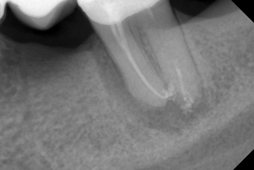
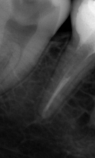
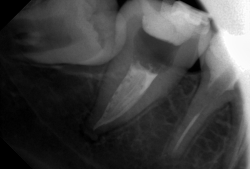
В стоматологической клинике "5 Принципов" в Симферополе мы гордимся тем, что каждый пациент получает индивидуальный подход и безупречный результат в области эндодонтического лечения под микроскопом. Наши специалисты применяют современные цифровые технологии, микропроцессорные и нейромодуляционные инструменты, что позволяет достичь максимальной точности и минимального дискомфорта. В портфолио клиники — широкий спектр кейсов: от первичной диагностики пульпита до сложной ретенированной резорбции и повторной эндодонтии. Мы беремся за зубы любых степеней сложности: от моляра до резцов, используя щадящие концевые инструменты и безболезненные методы постоянной анестезии. Все процедуры проходят под увеличением, что обеспечивает точное удаление инфицированной ткани и сохранение естественной анатомии зуба.Особое внимание мы уделяем постпроцедурному наблюдению: контроль за герметичностью заполнения корневых каналов, профилактические рекомендации и возможная корректировка плана лечения при необходимости. В "5 Принципах" мы разумно сочетаем комфорт, эстетическую привлекательность и долгосрочную функциональность. Результат — здоровые зубы, уверенная улыбка и спокойствие наших пациентов в Симферополе. Запишитесь на консультацию и убедитесь сами в нашем подходе к качественному эндодонтическому лечению.
В стоматологической клинике "5 Принципов" в Симферополе мы гордимся тем, что каждый пациент получает индивидуальный подход и безупречный результат в области эндодонтического лечения под микроскопом. Наши специалисты применяют современные цифровые технологии, микропроцессорные и нейромодуляционные инструменты, что позволяет достичь максимальной точности и минимального дискомфорта. В портфолио клиники — широкий спектр кейсов: от первичной диагностики пульпита до сложной ретенированной резорбции и повторной эндодонтии. Мы беремся за зубы любых степеней сложности: от моляра до резцов, используя щадящие концевые инструменты и безболезненные методы постоянной анестезии. Все процедуры проходят под увеличением, что обеспечивает точное удаление инфицированной ткани и сохранение естественной анатомии зуба.Особое внимание мы уделяем постпроцедурному наблюдению: контроль за герметичностью заполнения корневых каналов, профилактические рекомендации и возможная корректировка плана лечения при необходимости. В "5 Принципах" мы разумно сочетаем комфорт, эстетическую привлекательность и долгосрочную функциональность. Результат — здоровые зубы, уверенная улыбка и спокойствие наших пациентов в Симферополе. Запишитесь на консультацию и убедитесь сами в нашем подходе к качественному эндодонтическому лечению.
должен начинаться на +7
Записаться на прием
До
После
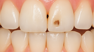
В стоматологическом центре "5 Принципов" в Симферополе лечение кариеса — это не просто процедура, а путь к здоровью зубов и уверенной улыбке. Мы предлагаем современные методики, индивидуальный подход и комфорт на каждом этапе. Наши специалисты используют безболезненные технологии, минимальные сроки и эстетичные материалы, чтобы восстановить поверхность зуба максимально естественно. Примеры работ: безопасная диагностика с помощью цифровой панорамной съемки, точная локализация очага кариеса, удаление пораженной ткани и пломбирование композитными материалами под оттенок зуба. Важно не только вылечить, но и предотвратить повторное развитие кариеса: наши рекомендационные планы включают фторирование, реминерализацию эмали и советы по гигиене. Мы уделяем внимание функциональности зубов и их долговечности: после лечения вы сможете наслаждаться твердостью зубов, нормальной прикусной нагрузкой и естественным цветовым соответствием улыбки. В "5 Принципах" комфорт пациентов — приоритет: современные анестезия и технологии снижают дискомфорт до минимума, а дружелюбная атмосфера помогает забыть о тревоге перед посещением. Мы гордимся результатами: здоровые зубы, красивая улыбка и уверенность наших пациентов в Симферополе. Запишитесь на консультацию — и убедитесь, как эффективно может работать лечение кариеса в нашем центре.
должен начинаться на +7
Записаться на прием
/ 5
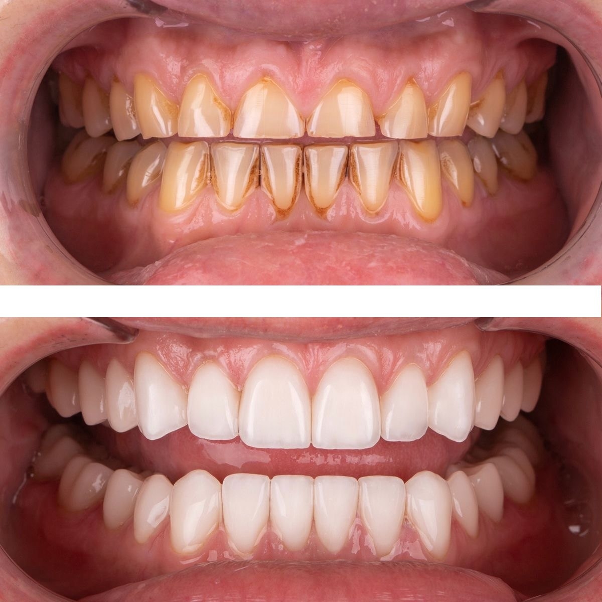
В стоматологическом центре “5 Принципов” в Симферополе мы предлагаем качественное протезирование, которое возвращает не только полноценную функцию зубного ряда, но и уверенную улыбку. Наши специалисты подбирают индивидуальные решения под каждого пациента: затемнение участка, восстановление зубов, подбор материалов и форм, максимально близких к природной эмалированной структуре. Мы уделяем особое внимание деталям: точная примерка, правильная окклюзия и гармония с соседними зубами. В арсенале клиники современные технологии — CAD/CAM системами мы проектируем протезы на основе цифровых снимков, что обеспечивает точность посадки и ускоряет сроки изготовления. Виды протезирования, которыми мы гордимся, включают металлокерамические и керамические коронки, мосты и частичные съемные протезы, а также имплантаты в сочетании с фиксированными конструкциями. В “5 Принципах” акцент ставится на функциональность, эстетику и долговечность. Мы тратим время на тщательную консультацию: обсуждаем форму, цвет и стиль улыбки, чтобы результат гармонировал с лицом и возрастом пациента. Используем биосовместимые материалы, снижаем риск аллергических реакций и повышаем комфорт. Пациенты в Симферополе доверяют нам, потому что видят естественную улыбку, улучшение жевательной функции и уверенность в себе. Запишитесь на консультацию и убедитесь, как протезирование в нашем центре может изменить вашу улыбку к лучшему.
должен начинаться на +7
Записаться на прием
Для определения стоимости вашего лечения необходима консультация доктора. Записаться на прием можно через личные сообщения или по номеру +7 (978) 21-000-30.

Ждем вас в гости по адресу:
г.Симферополь, мкрн.Каменка, ул.Сельская, 88
/ 8
Что вас ждёт на консультации
Что вас ждёт на консультации
  • Беседа с врачом
Врач выслушает все ваши жалобы и ответит на интересующие вопросы.
  • Осмотр
Специалист проведёт тщательный осмотр полости рта и подробно расскажет о состоянии каждого зуба.
  • План лечения
По итогу осмотра врач составит план лечения и список необходимых обследований.
  • Пациент на первом месте
На консультации уделяем пациентам столько времени и внимания, сколько потребуется для ответа на все вопросы.
  • Второе мнение
Дадим второе мнение, если вы уже были у врача.
  • Беседа с врачом
Врач выслушает все ваши жалобы и ответит на интересующие вопросы.
  • Осмотр
Специалист проведёт тщательный осмотр полости рта и подробно расскажет о состоянии каждого зуба.
  • План лечения
По итогу осмотра врач составит план лечения и список необходимых обследований.
  • Пациент на первом месте
На консультации уделяем пациентам столько времени и внимания, сколько потребуется для ответа на все вопросы.
  • Второе мнение
Дадим второе мнение, если вы уже были у врача.
Опишите вашу ситуацию или задайте вопрос

Нажимая на кнопку, вы принимаете Положение и даете Согласие на обработку персональных данных.

КОНТАКТЫ 

Республика Крым, Симферополь, ул.Сельская,д. 88
ПН-ВС с 8:00 до 20:00
Мы в соц. сетях:
Мы в соц. сетях:
5 принципов работы клиники - безопасность, профессионализм, актуальность, надежность, комфорт!
5 принципов работы клиники - безопасность, профессионализм, актуальность, надежность, комфорт!
Политика в отношении обработки персональных данных
Согласие на обработку персональных данных
ООО «ПЯТЬ ПРИНЦИПОВ» | ИНН 9102276999 | ОГРН 1219100015111. © 2024
Сайт использует cookie-файлы, чтобы сделать ваше пребывание на нем максимально удобным.
К cайту подключен сервис веб-аналитики Яндекс. Метрика, использующий cookie-файлы.
Оставаясь на сайте, вы даете свое согласие на обработку персональных данных в порядке, указанном в Политике конфиденциальности. Запретить обработку cookies можно в настройках вашего браузера.